Gummy Smile in McLean, VA
Reveal the
Beauty Beneath
- Board certified and named “Top Periodontist” by Washingtonian magazine
- Gentle, precise gum reshaping for balanced, natural results
- Advanced microsurgical care with the Zeiss microscope (exclusive in NoVA)
- Seamless cosmetic integration with porcelain restorations available
Meet Dr. Fadi Hasan Your Periodontist in McLean, VA
McLean patients who want to explore cosmetic gum contouring are in expert hands with Dr. Hasan. His focus on precision, comfort, and artistry helps him provide stunning results that are both natural-looking and long-lasting.

- Board-certified periodontist and implant surgeon
- Assistant Clinical Professor, VCU Dental School Department of Periodontics
- Published on platelet-rich fibrin (PRF) and osseodensification
- Named “Top Periodontist” by Washingtonian magazine
- Performs microsurgery using the Zeiss microscope (only one in NoVA)
- Uses Green CT and 3Shape scanner for digital treatment planning
- Trusted by referring dentists for advanced cosmetic cases
Let Dr. Hasan personalize your gum contouring treatment with unmatched precision and care.
“I drove over two hours to see Dr. Fadi Hasan, and I’d do it again in a heartbeat. I had esthetic crown lengthening and tissue grafting done, and not only were both procedures completely pain-free, but the results were amazing.”
— Danielle, 5-Star Review
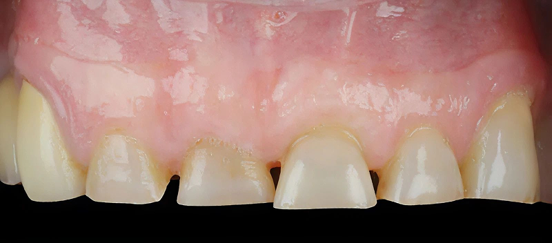
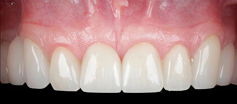
What Is a Gummy Smile and Is Corrective Treatment Right for You?
A “gummy smile” refers to an imbalance between your teeth and gums where too much gum tissue is visible above the top teeth when smiling. While completely natural, it may leave you feeling self-conscious or dissatisfied with your appearance.
Gummy smile correction, also known as gum contouring or crown lengthening, gently removes excess gum tissue to reveal more of your natural teeth. Our periodontist in McLean, VA, evaluates gum shape, lip movement, tooth proportions, and facial balance to ensure his patients’ smiles look beautiful and natural.
The benefits of treatment include:
- A more balanced, symmetrical smile
- Improved confidence in photos and social settings
- Easier at-home cleaning, reducing risk of gum disease
- Immediate, long-lasting results
If you feel that your gums overshadow your teeth or your smile feels out of proportion, Dr. Hasan can help you reclaim a natural look you’ll love.

Hear From Dr. Hasan On Gum Contouring and Smile Design
Cosmetic dental care isn’t just about your teeth. Your gums play an important role in the overall look of your smile. If you feel as though you have too much gum tissue, conservative cosmetic gum contouring from Dr. Fadi Hasan can make a big difference. Dr. Hasan gently removes small amounts of excess tissue, creating a balanced and flattering frame for your teeth.
No Referral Needed: Start Now
You don’t need a referral to take the first step toward a more confident smile. During your personalized consultation, Dr. Hasan will assess your gum health, review your goals, and create a custom gum contouring plan just for you.
We welcome McLean patients seeking both aesthetic improvements and medically indicated gum procedures, and we’re here to support your comfort every step of the way. Book your appointment today!
FAQ
About Treatment for Gummy Smiles
in McLean, VA
What causes a gummy smile?
Several factors can contribute to a gummy smile, including genetics, jaw development, short upper teeth, or overactive upper lip muscles. Dr. Hasan will assess your specific cause and tailor your treatment accordingly.
Does gum contouring hurt?
Not at all! Most gum contouring and crown lengthening patients experience minimal discomfort thanks to our advanced tools and comforting sedation options. The Zeiss microscope allows Dr. Hasan to perform tissue contouring with incredible precision and gentleness.
How long is the recovery?
Recovery is typically quick. Most patients can return to their normal activities within a day or two. Expect minimal swelling and final results that become more visible as the gum tissue fully heals, typically over one to two weeks.
Can I combine gummy smile correction with other treatments?
Absolutely! Many patients combine their gum contouring with porcelain veneers, crowns, or implant restorations. Dr. Hasan can coordinate your treatment plan to ensure seamless results.
Is this procedure permanent?
Gum tissue does not typically grow back after contouring. With proper oral hygiene and maintenance visits to your McLean dentist, your results can last a lifetime.
"I’ve always been a bit self-conscious about my short teeth and gummy smile—thanks, genetics. Fortunately, I found Dr. Fadi Hasan, truly the best periodontist. One quick surgery later, and I finally have the smile and tooth length I’ve always wanted. The results were immediate, and the procedure was painless. Dr. Hasan and his team made the entire experience smooth and stress-free."
— CC, 5-Star Review



